Maus hábitos podem estar por trás da erosão dentária; Saiba quais
Sensibilidade, manchas amareladas e fissuras podem surgir com a ingestão de bebidas ácidas, hábitos de escovação e condições como refluxo

A erosão dentária é caracterizada pelo desgaste do esmalte, a camada protetora que recobre os dentes. Esse processo é causado por diversos fatores – que incluem hábitos alimentares, consumo de álcool e outras condições – e pode gerar consequências muito além da estética.
Segundo a Associação Americana de Odontologia (ADA, na sigla em inglês), dos Estados Unidos, a erosão pode ocorrer em indivíduos de qualquer idade. Uma análise destacada pela ADA estima que a prevalência mundial de erosão dentária em dentes de leite varia de 30% a 50%; em dentes permanentes de adultos, pode chegar a 45%.
Os dentes passam naturalmente por ciclos de remineralização e desmineralização. Quando a acidez é excessiva, a perda de minerais – como cálcio, fosfato e flúor – supera a reposição, abrindo caminho para danos visíveis e incômodos.
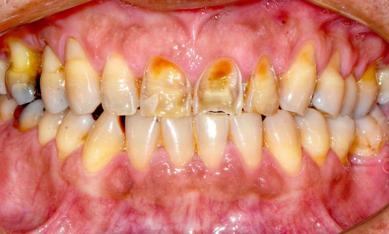
“Os principais sintomas desse processo são a mudança da cor dos dentes, já que a perda do esmalte deixa exposta a estrutura que fica abaixo dele, a dentina, que costuma ser mais escura, e o aumento da sensibilidade dental, que pode causar uma sensação desagradável quando a pessoa ingere algo muito gelado, sorri muito ou respira de forma mais intensa”, explica a cirurgiã-dentista Leticia Bezinelli, coordenadora da Graduação em Odontologia da Faculdade Israelita de Ciências da Saúde Albert Einstein (Ficsae). Em casos mais graves, os dentes ficam opacos, translúcidos nas bordas e apresentam fissuras.
Alguns hábitos, como o bruxismo, a utilização de pastas de dente muito abrasivas, o uso de escovas com cerdas pouco macias e a escovação com muita força podem piorar o quadro. As recomendações para combater a erosão são individualizadas, após avaliação por um dentista. “Somente assim vão ser identificados e revertidos os fatores de risco”, observa Bezinelli.
Por trás da erosão
Esse dano ao esmalte dentário pode ter causas endógenas (do próprio organismo) ou exógenas (externas ao corpo). Nos quadros endógenos, a erosão decorre da entrada de ácidos gástricos na cavidade oral com uma frequência, duração ou intensidade que excede a capacidade de proteção proporcionada pela saliva ou outras medidas. Segundo a ADA, esse processo é prejudicial quando ocorre várias vezes por semana durante um período prolongado.
Entre os problemas que levam a essa situação estão refluxo gastroesofágico, bulimia nervosa (condição em que a pessoa induz o próprio vômito) e alcoolismo crônico. Em gestantes, há evidências, segundo a ADA, de que a hiperêmese gravídica, que provoca enjoo e vômitos por períodos prolongados, também eleva o risco.
Os fatores de origem exógena incluem aspectos alimentares, de estilo de vida, ambientais e até ocupacionais. O consumo de bebidas ácidas é o principal deles. De acordo com a associação dos EUA, um número crescente de evidências sugere que o principal fator de predisposição para a erosão dentária extrínseca é o consumo frequente de refrigerantes, bebidas esportivas e sucos de frutas com valores de pH baixos (2,0–3,5).



